Smile Gallery
-
Before
After
Full Mouth Reconstruction
Read StoryThis client hated her smile for YEARS, and finally decided to do something about it. We worked up a plan, showed her what we wanted to do, and we did it! She was thrilled and very appreciative of the time we took to plan her full mouth rehab. Great case!
-
Full Mouth Rehabilitation
Read StoryCarolyn came to us because she wanted to change her smile but did not want to rush the process.She wanted to do it the right way.
From the first visits we collected data and discussed all options. We talked through everything: The Pros, The Cons, The Ups and the Downs. So we developed a plan that then became a design, a CLEAR VISION of what her smile COULD be. Special shoutout to Nichoel at Ziemek for always seeing the vision. She is great to work with when it comes to digital design.
Once we had our clarity, we turned our thoughts into action. We tested our design for about 3 months — living in our new smile, speaking, smiling, chewing — giving us real life feedback and confirming the esthetics and function were just right.
After our 3 month test drive, there was no guesswork left. The bite worked. The esthetics worked. Most importantly… Carolyn loves it!
Final cementation was smooth, predictable, and intentional.Exactly how it should be when planning leads the process. -
Before
After
Cosmetic Bonding
Read StoryThis client was abolutely awesome! Very outgoing personality, but hated her smile. For this case, we used direct bonding using composite and sculpting. Two hours later... a world of difference. She was so happy!
-
Before
After
Invisalign Treatment
Read StoryThis client came in wanting straighter teeth and nicer smile, but she was very nervous. She cried at her original Invisalign appointment. "I don't know if I want to do this, Dr. Cruz!".
She cried an entirely different set of tears a year later, when we showed her her original before pictures vs. her after pictures. No surgery. No crowns or veneers. Just Invisalign and compliance. Beautiful result! -
Before
After
Invisalign
Read StoryThis client came from a different state. He was told by a few orthodontists in his area that he would need metal braces fix this. "There's no way Invisalign can pull a tooth down like that". 1 year later. Invisalign works.
-
Before
After
Invisalign & Porcelain
Read StoryThis client wanted to straighten her teeth but was concerned that her bridges would be an issue. They weren't! After Invisalign treatment was done, she was happy but asked Dr. Cruz "Is there anything we can do to make everything look brighter and more uniform? Can we redo this bridge and match the front?" Done!
Dental Implant before and after 86 it, it looks bad to me now! -
Before
After
Invisalign Treatment
-
Before
After
Teen Invisalign
Read StoryThis was one of our earlier Invisalign cases. Turned out beautifully and we were done QUICKLY. Teen Invisalign is great because the teeth move much easier in teens. She wore her trays as directed, and we were able to straighten her teeth with zero bracket and zero wire. #Invisalign for the Win!
-
Before
After
KoR Whitening
Read StoryThis client had what we call "tetracycline staining" since she was a kid. No whitening works for that... except KoR Whitening! One appointment chairside whitening, 3 rounds, what a difference!
-
Before
After
Porcelain Veneers
Read StoryThis client was a client for years, always mentioned he wanted to do something about his smile. He got another job in Arizona and wanted Dr. Cruz to "fix my teeth before I move. I don't want to get there and have to trust another dentist with my smile!" We were able to fix his smile in time for the big move west. We gave him the subtle, natural look he's always wanted!
-
Before
After
Biomimetics: Ceramic Onlay
-
Before
After
Biomimetics: Ceramic Onlay
-
Before
After
Biomimetics: Ceramic Onlay
-
Before
After
Biomimetics: Bonding
-
Before
After
Biomimetics: White Fillings
-
Before
After
Biomimetics: Ceramic Onlay
-
Before
After
Biomimetics: White Filllings
-
Before
After
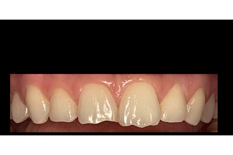
Porcelain Veneers
Read StoryThis client fell and chipped his front tooth, but never really liked the lines on his 2 front teeth to begin with. Seemed like a good opportunity to change his smile for him. We only did the front 2 teeth because he wanted to still look like himself. He was thrilled at the outcome! We were, too.
-
Before
After
Digital Denture
Read StoryThis client accidentally lost his upper denture. He didn't have a lower, and didn't want one. He just wanted an upper denture quickly. The traditional way would take a few months, but with Digital dentures we were able to get him something in 2 Weeks! He was so happy they fit and looked good, he asked us to make him a lower denture, too!
-
Before
After
Dental Implant
